الصحة والجمال

مستشفى الملك سلمان ينقذ سيدة من ورم في الدماغ

الرياض - هدى الخطيب

الرياض - هدى الخطيب

 

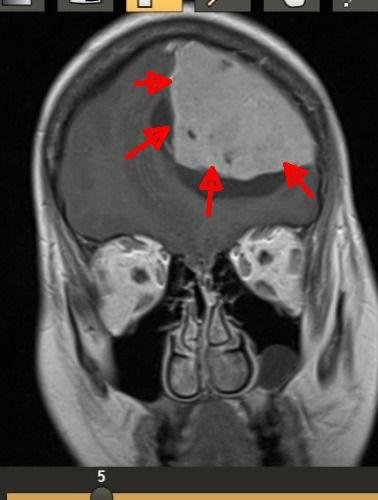
نجح فريق جراحة المخ والأعصاب في مستشفى الملك سلمان من استئصال ورم في الدماغ لسيدة ثلاثينية؛ تعاني من صداعٍ شديد وغثيان مستمر ونوبات صرع.

وتفصيلاً؛ بعد إجراء الفحص بالرنين المغناطيسي على الرأس تبيّن وجود ورم كبير الحجم في الفص الأيسر من الدماغ، ويضغط بشكلٍ مباشر على مراكز عصبية وحيوية ومن بينها مراكز النطق، ليقرر الفريق الجراحي بقيادة رئيس جراحة المخ والأعصاب د. عصام شبشوب إجراء عملية بالغة الدقة استغرقت حوالي 4 ساعات، تم خلالها الاستئصال الكلي للورم مع الحفاظ على سلامة الوظائف العصبية للمراكز الدماغية الحساسة المتاخمة للورم مثل مراكز التحكم في النطق والحركة؛ وذلك عبر استخدام تقنيات جراحية دقيقة وأجهزة متطورة مثل جهاز تفتيت وشفط الأورام بالموجات فوق الصوتية، وتمت إفاقة المريضة من التخدير مباشرة بعد العملية وهي لا تزال في غرفة العمليات، وكانت متجاوبة وبدون وجود أي مضاعفات وهي الان في صحة جيدة وتحسن مستمر -ولله الحمد-.

يذكر أن مستشفى الملك سلمان عضو تجمع الرياض الصحي الأول يشهد تطور نوعي في العمليات الجراحية؛ بتطبيق أفضل معايير الجودة والتميز الصحي عبر تقنيات مستحدثة وكوادر متخصصة.

مقالات ذات صلة

زر الذهاب إلى الأعلى
💬